EDUCATION

BEHIND THE SCAN

Diagnostic Hand Ultrasound Part 4: Advanced Hand

12:00 PM PT
3:00 pm ET
Tuesday
October 7, 2025
45 min
Ultrasound enables the detailed assessment of the dorsal and volar hand, now enhanced with Sonosite’s new ultra-high frequency transducer: UHF 46-20 MHz. Join Daniel Shelton for Part 4 of the Diagnostic Hand Ultrasound Series: ‘Advanced Hand’ to learn dynamic maneuvers for differentiating small layers of anatomy, advanced scanning techniques and transducer handling for improved visualization, and the benefits of ultra-high frequency for dorsal and volar hand imaging.
What You'll Learn:

  • Dynamic maneuvers to help differentiate intricate layers of anatomy.
  • Advanced scanning techniques and transducer handling for complex exams.
  • Visualization of difficult ligament and tendon insertions
  • Discover the benefits of ultra-high frequency when imaging the dorsal and volar hand.
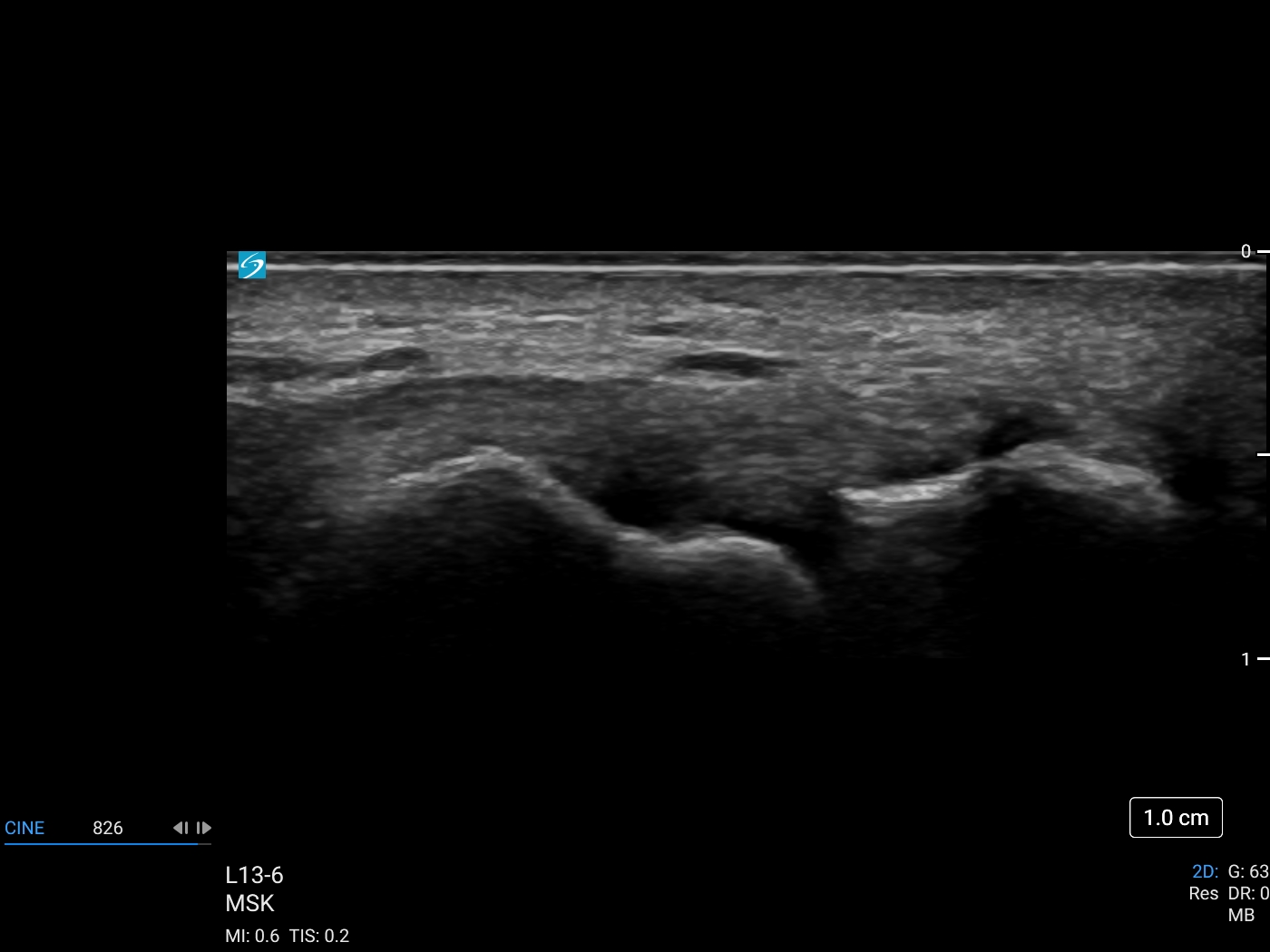
Ulnar Collateral Ligament with L13 hockey stick-6Mhz
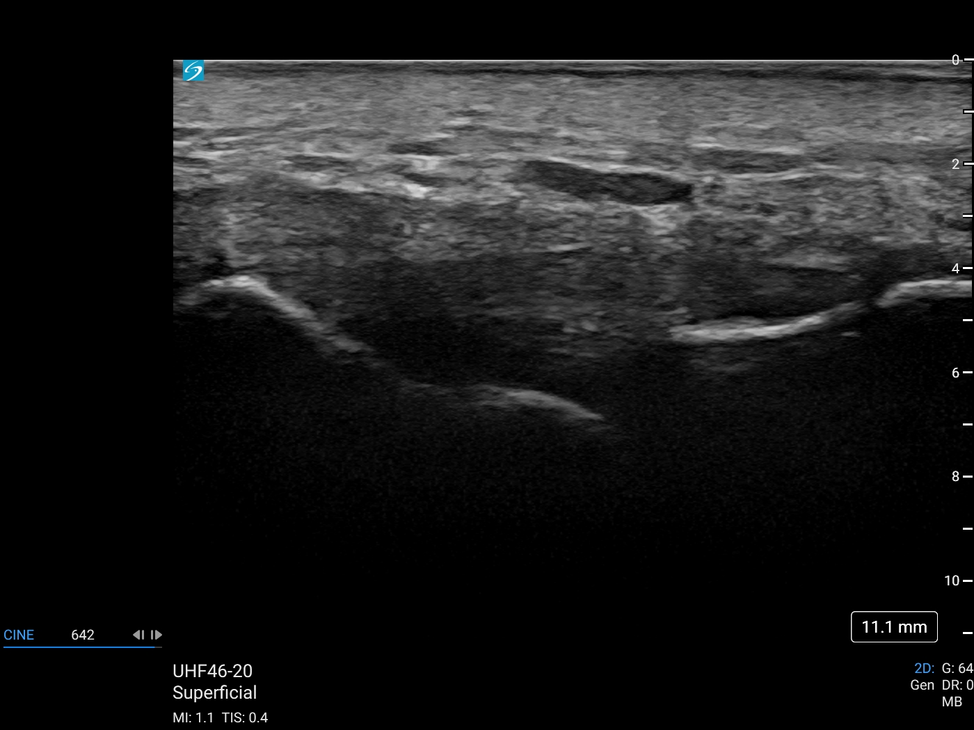
Ulnar Collateral Ligament with UHF 46-20MHz
Presenter: Daniel Shelton
FUJIFILM Sonosite
Director, MSK Market Development

Daniel is Director of Musculoskeletal Market Development at FUJIFILM Sonosite, bringing 21 years of expertise as a dedicated musculoskeletal sonographer. He is passionate about advancing education in musculoskeletal ultrasound and advocating for the benefits of point-of-care ultrasound.


Contact us today to request a personalized demo.
Yes, please use the information I provide here to communicate with me about FUJIFILM Sonosite, Inc. products and services. (optional)
Yes, I'd like to be contacted by my local Sonosite representative to learn more about ultrasound. (optional)

sonosite.com
Any patient. Anywhere. Anytime.

 

LinkedIn Logo Twitter Logo Facebook Logo   Instagram Logo   YouTube Logo


©2026 FUJIFILM Sonosite, Inc. All Rights Reserved.
FUJIFILM Sonosite , Inc., 21919 30th Drive SE, Bothell, WA 98021, USA
By submitting this form you agree to be contacted by your local Sonosite representative.
FUJIFILM Sonosite, Inc. will use the information you provide here to grant you access to the requested content. FUJIFILM Sonosite, Inc. will not use your contact information to communicate with you for other purposes without your consent.
If you would like to receive communications about FUJIFILM Sonosite, Inc. products and services, you may provide your consent by opting in. You can manage your preferences at any time. View our full privacy policy and terms of use.