EDUCATION

BEHIND THE SCAN

Diagnostic Hand Ultrasound Part 2: Introduction to the Volar Hand

12:00 PM PT
3:00 pm ET
Tuesday
September 16, 2025
45 min
Ultrasound enables the detailed assessment of soft tissue, connective tissue, nerves, and vascular structures of the volar hand, now enhanced with Sonosite’s new ultra-high frequency transducer: UHF 46-20 MHz. Join Daniel Shelton for Part 2 of the Diagnostic Hand Ultrasound Series: ‘Introduction to the Volar Hand’ to review superficial anatomy of the volar hand, the advantages of ultra-high frequency for detailed volar hand imaging, and techniques that help enhance image clarity and distinguish tissue layers.
What You'll Learn:

Upon watching this webinar, viewers will learn:

  • To select the optimal transducer for imaging superficial structures of the volar hand.
  • Applications and advantages of scanning the volar hand with ultra-high frequency.
  • To apply transducer handling techniques to help enhance image clarity.
  • Dynamic maneuvers to help effectively distinguish tissue layers and planes.
  • Benefits and limitations of volar hand ultrasound.
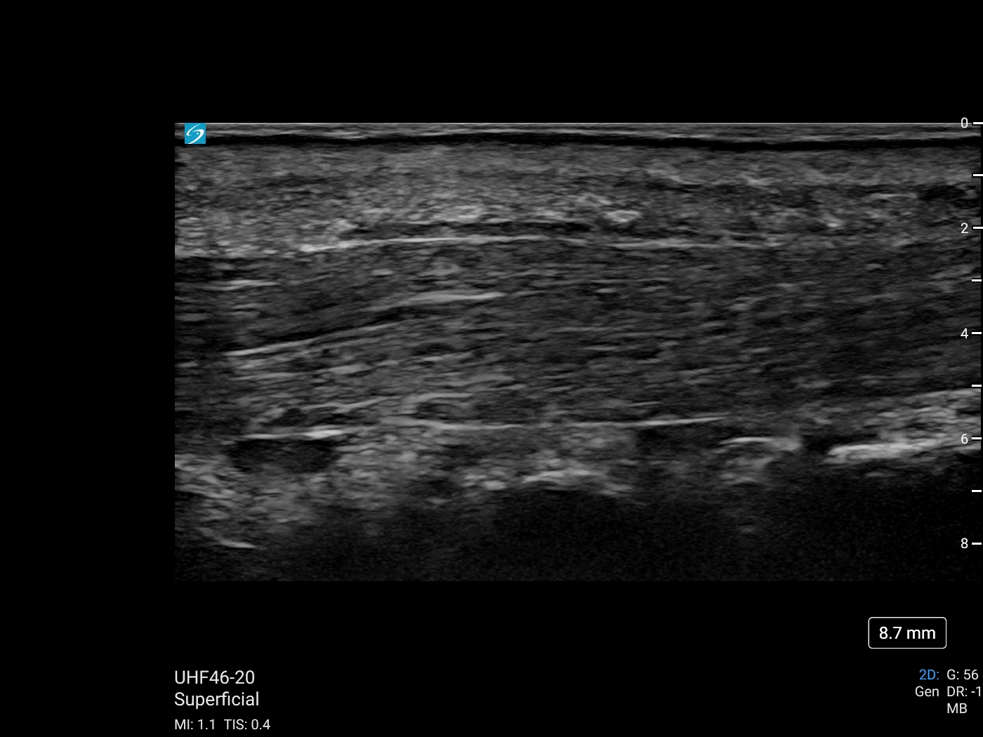
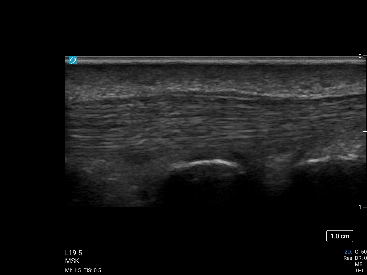
Thumb Flexor Tendon without UHF
Thumb Flexor Tendon with UHF
Presenter: Daniel Shelton
FUJIFILM Sonosite
Director, MSK Market Development

Daniel is Director of Musculoskeletal Market Development at FUJIFILM Sonosite, bringing 21 years of expertise as a dedicated musculoskeletal sonographer. He is passionate about advancing education in musculoskeletal ultrasound and advocating for the benefits of point-of-care ultrasound.


Contact us today to request a personalized demo.
Yes, please use the information I provide here to communicate with me about FUJIFILM Sonosite, Inc. products and services. (optional)
Yes, I'd like to be contacted by my local Sonosite representative to learn more about ultrasound. (optional)

sonosite.com
Any patient. Anywhere. Anytime.

 

LinkedIn Logo Twitter Logo Facebook Logo   Instagram Logo   YouTube Logo


©2026 FUJIFILM Sonosite, Inc. All Rights Reserved.
FUJIFILM Sonosite , Inc., 21919 30th Drive SE, Bothell, WA 98021, USA
By submitting this form you agree to be contacted by your local Sonosite representative.
FUJIFILM Sonosite, Inc. will use the information you provide here to grant you access to the requested content. FUJIFILM Sonosite, Inc. will not use your contact information to communicate with you for other purposes without your consent.
If you would like to receive communications about FUJIFILM Sonosite, Inc. products and services, you may provide your consent by opting in. You can manage your preferences at any time. View our full privacy policy and terms of use.